진료과목
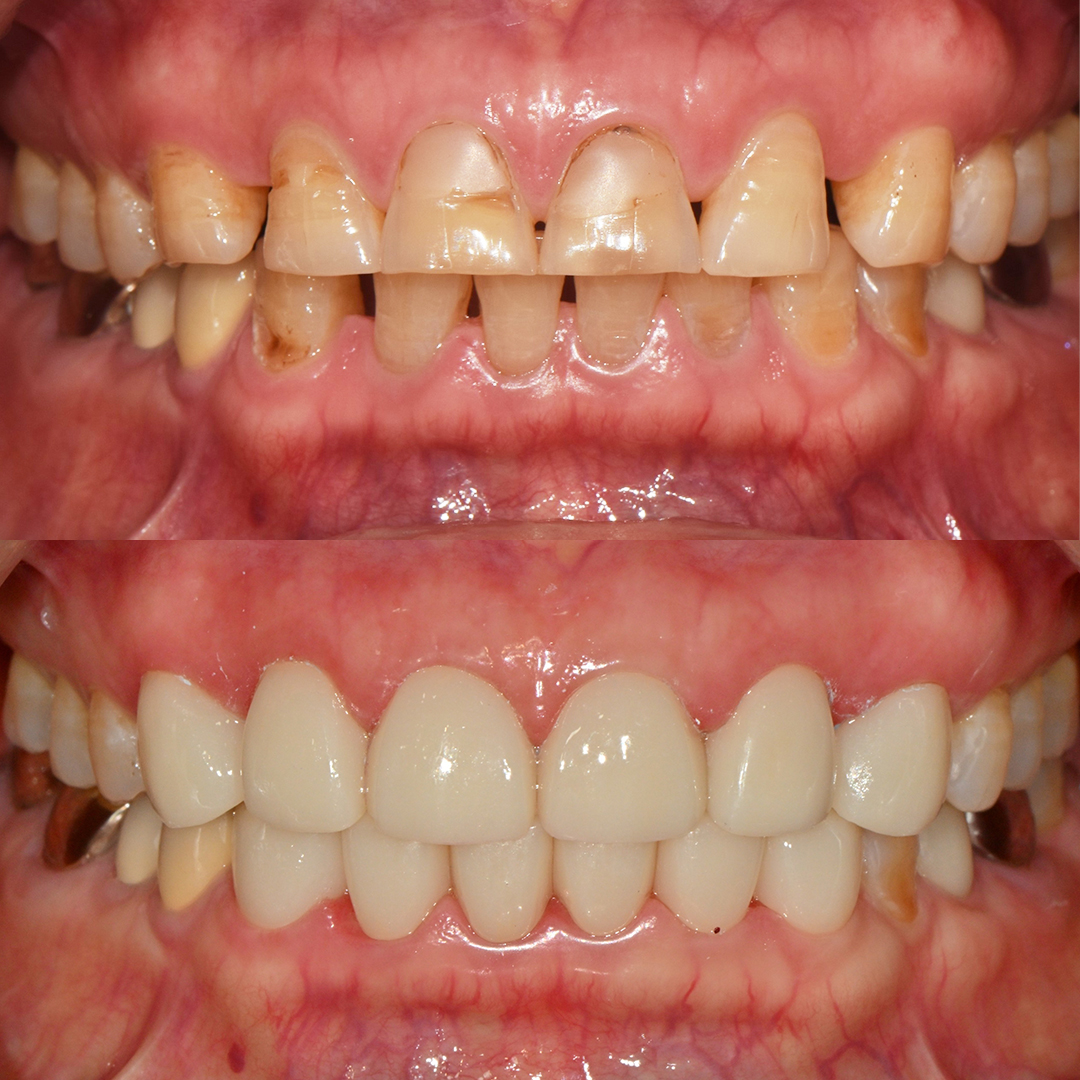
- 임플란트
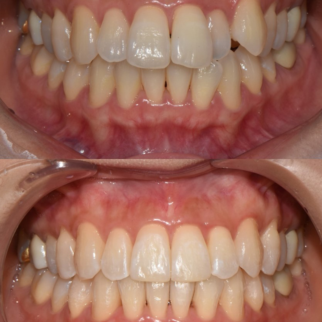
- 심미보철
- 치주치료
- 턱관절치료
- 충치치료
- 사랑니발치
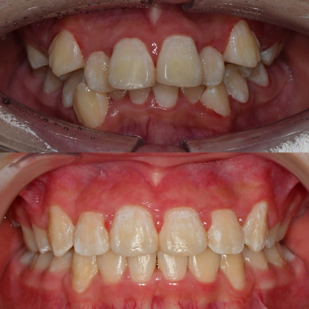
- 교정치료
- 틀니
- 일반진료
- 스케일링
“환자를 먼저 생각하는
과잉진료 없는 정직한 치과.”
365서울앞선치과에서는 과잉진료 걱정이 없습니다.
정직한 진료를 최우선 가치로 내원하시는 환자분들이 합리적인 가격으로
편안하고 통증 없는 치료를 받으실 수 있도록 항상 노력하고 있습니다.

“환자 맞춤의 앞선 진료를 위해
끊임없이 연구하고 아낌없이 투자합니다.”
첨단 진단장비와 차별화된 서울대치과병원 진료시스템을
바탕으로 한 분과별 협진시스템으로
환자분 개개인을 위한 맞춤 치료를 진행하고 있습니다.

“조금이라도 덜아픈 치료를 위해
단계별 마취시스템과 정밀 치료에 집중합니다."
치료 과정의 통증과 마취주사로 인한 두려움과
부담을 느끼시는 환자분들 위해
통증을 최소화하는 단계별 마취 시스템과 정밀 치료를 시행합니다.
간단한 치과 진료부터 고난이도 수술까지 모두 가능한
365서울앞선치과 임플란트 특화진료
디지털 기술로 더 정확하고 확실하게
디지털(스마트) 임플란트
디지털 스캐닝 기술을 이용해 정교한 3D 모델을 만들고
임플란트의 정확한 위치에 식립하여 높은 정밀도와 맞춤형 치료를 제공합니다.
발치와 임플란트 시술이 단 하루만에!
원데이 임플란트
단 한번의 수술만으로 발치와 동시에
즉시 임플란트를 식립하여 불편감을 줄이고 치료기간을 단축할 수 있습니다.
평균 악당 30분의 빠른 식립시간, 치료 케이스 다수 보유
전체 임플란트
상·하악 전체 치아를 대체하는 임플란트로 최소한의 식립을 통해
자연치아와 비슷한 기능을 수행할 수 있도록 합니다.
자연치아는 최대한 보존하고 빠른 회복을 위한
최소침습 임플란트
풍부한 임상경험을 토대로 잇몸뼈를 절개하지 않고
빠르고 정확하게 임플란트를 식립하여 붓기와 통증을 최소화합니다.
인천을 사랑하는 치과의사
365서울앞선치과 대표원장 강동우 인사드립니다.
저는 초,중,고등학교까지 모든 유년시절을
인천에서 보내왔습니다.
누구보다 인천을 사랑하는 마음이 크기에
인천 지역분들의 신뢰와 사랑을 무한히 받을 수 있는
치과를 만들고자 새로운 도전을 시작합니다.
지역에서 가장 사랑받는 안심 치과가 될 수 있도록
정성과 최선의 진료를 약속 드리겠습니다.
Philosophy
디지털 치료 중심 장비기반의
정밀한 최적의 진료 제공
진단부터 진료까지, 가장 진화한 디지털 첨단
장비로 오차 없는 최적화 진료가 가능합니다


365서울앞선치과 공간 둘러보기
환자의 편안함과 진료에 관한 협업까지 고려한 계획된 공간
오시는길 & 진료시간
인천 미추홀구 주안로 107, 금강메디컬센터 5층
진료시간
월 – 목오전 09 : 30 ~ 오후 08 : 30 (야간진료)
금요일오전 09 : 30 ~ 오후 06 : 30
토요일오전 09 : 30 ~ 오후 02 : 00
일, 공휴일오전 10 : 00 ~ 오후 02 : 00
점심시간오후 01 : 00 ~ 오후 02 : 00
*토, 일, 공휴일 점심시간 없이 진료
X
X
X
X
X
X
