|
앞니 부분 교정 치료 증례 2026-02-09 hit.244 |
|
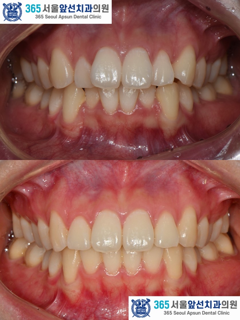
(그림1) 촬영일자 2025.02.25. / 2025.11.06.
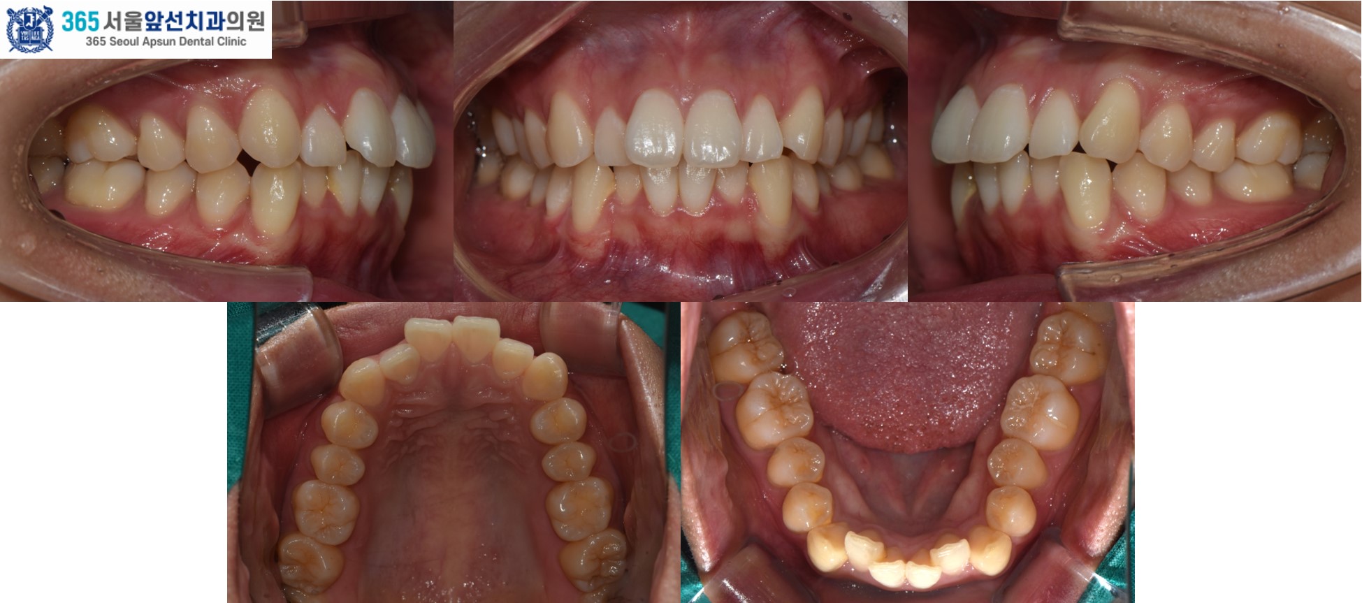
앞니의 비뚤한 치열을 고민으로 내원하신 20대 여성 환자 분의 증례를 소개드리겠습니다. 치료 전의 모습입니다. 상,하악 치열 각각 3.1mm, 2.9mm 의 필요 공간이 있는 중등도의 총생(Crowding)이 관찰됩니다. (그림2) 촬영일자 2025.02.25.
아랫니의 치열이 윗니의 치열보다 후퇴되어있는 2급 부정교합도 있었지만, 환자분은 2급 부정교합은 수정하지 않고 앞니의 치열만 가지런히 하기를 원하셔서 부분 교정으로 진행하였습니다. 이 경우, 2급 부정교합과 수평 피개는 잔존하게 됩니다. 부정교합의 정도에 따라, 치료계획을 좀더 간단하게 수정할 수 있습니다. 전체 교정과 부분 교정의 계획은 꼭 전문의와의 상담을 통해 결정하는 것이 좋습니다. ^^ (그림3) 촬영일자 2025.11.06.
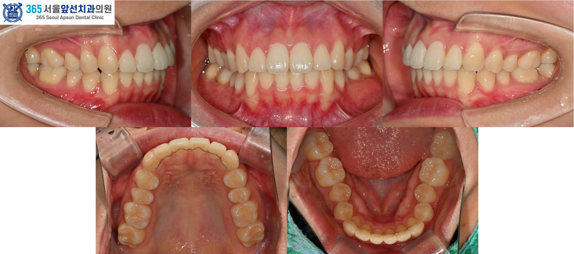
치료 후의 모습입니다. 아랫니 치열은 약 5개월, 윗니 치열은 약 7개월의 치료기간이 소요되었습니다. 앞니의 치열이 가지런하게 배열되어 환자분도 만족하셨습니다. 미소 시 자연스럽고 단정한 인상으로 변화하였습니다. 앞니 부분 교정 증례의 치료기간은 4-9개월 사이로 정도에 따라 상이합니다. 부분 교정 관심 있으신 환자분들께서는 365서울앞선치과로 내원하셔서 교정 진단 받아보시길 바랍니다. 감사합니다!
gif 촬영일자 2025.02.25. 2025.03.26. 2025.04.26. 2025.05.28. 2025.11.06. 2025.02.25. 2025.11.06. 2025.02.25. 2025.11.06. 2025.02.25. 2025.11.06. |
