365서울앞선치과
의료진 소개
임상칼럼
진료과목
특화진료소개
진료철학
둘러보기
오시는길/진료시간
의료진 소개
진료과목
특화진료소개
진료철학
둘러보기
오시는길/진료시간
로그인
|
회원가입
임상증례
임상증례
dentist story
치과진료에 대한 다양한
궁금증과 치료 연구를 위한 증례 이야기
본 컬럼은 56조 제 1항의 의료법을 준수하여 작성되었으며 실제 내원 환자분의 동의하에 공개된 치료과정의 사진이 포함되어 있습니다.
개인에 따라 진료 및 치료방법이 다르게 적용될 수 있으며, 효과와 부작용이 다르게 나타날수 있는점을 안내 드립니다.
전체
재수술 임플란트
전체 임플란트
심미보철치료
매복사랑니 발치
낭종 및 구강병소 제거
신경치료 및 재신경치료
보철 및 틀니 치료
교정치료
39
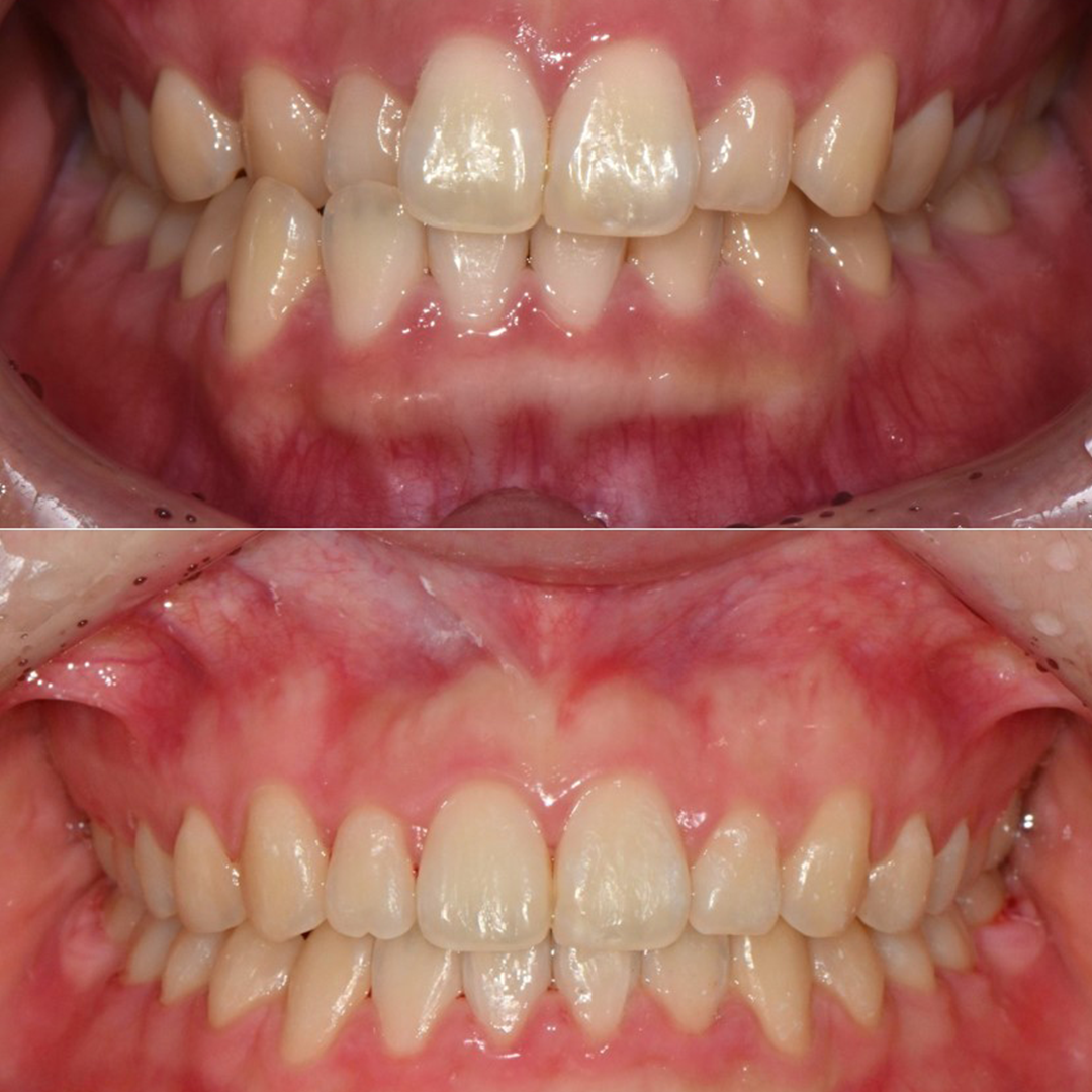
벌어진 앞니 교정치료와 교정적 공간 폐쇄 치료
2024.06.08앞니 사이 벌어진 공간과 정중선 불일치를 고민으로 내원하셨던 20대 남성 환자분입니다.  ..
38
국소 골다공성 골수 결손 환자에서 임플란트와 틀니를 이용한 전체치료
골다공증이 심해서 임플란트가 불가능하다는 이야기를 들었어요.임플란트가 가능할까요?상기 환자분은 골다..
37
무절개 전체 임플란트 수술 증례
통증이 두려워서 무절개로 수술을 하고 싶어요.무절개 임플란트 수술을 문의 주셨던 환자분입니다.윗턱..
36
하악 수평 매복 사랑니 발치 (ft. 6분 매복발치)
치아교정 전에 양쪽 매복사랑니 발치하고 싶어요.안녕하세요. 간석동치과 365서울앞선치과의원입니다.오늘 ..
35
신경관과 완전히 붙어있는 매복사랑니 발치 증례
오른쪽 아래턱에 매복 사랑니가 있는데,집근처 치과에서 대학병원 가서 뽑아야한다고 했어요.어려운 사랑니..
34
구강상악동누공 폐쇄술 증례
안녕하세요. 석바위시장치과 365서울앞선치과의원입니다.상기 환자분은 상악동 수술 후 감염으로 인해 상악..
33
혀쪽으로 경사진 완전 매복 사랑니 발치
안녕하세요. 주안동치과 365서울앞선치과의원입니다.하루에도 몇 건씩 사랑니가 불편하셔서 오시는 환자분..
32
미국에서 오신 환자분의 수직골증대술 증례
오늘 소개해드릴 간석동치과잘하는곳 365서울앞선치과의원 증례는 치료의 난이도도 높고환자분께서 미국..
31
신경과 근접한 완전수평 매복사랑니 발치
아래턱에 매복사랑니가 있는데, 집근처 동네치과에서 발치가 불가능하다고 대학병원에 가보라고 ..
30
앞니 깨짐, 전치부 레진 치료 증례
앞니가 깨지고 갈라져서 보기싫어요.앞니가 예뻐졌으면 좋겠어요.앞니의 미용적인 문제를 호소하시며 환자..
29
오래된 앞니 보철물 교체 치료 증례
위쪽 앞니 보철물을 한지 오래됐는데, 바꾸고 싶어요.안녕하세요. 주안역치과 365서울앞선치과 대표원장 강..
28
심하게 매복된 어금니 발치를 동반한 임플란트 치료증례
안녕하세요. 도화역치과 365서울앞선치과의원입니다. 오늘은 심하게 매복된 어금니 발치를 동반한 임플..
1
2
3
4
전체
제목
내용
작성자
네이버예약
공식블로그
카카오톡상담
전화상담
032-228-2828
TOP